Ул.Корунни 810/104, Прага-Винограды
+420 777 52 88 99

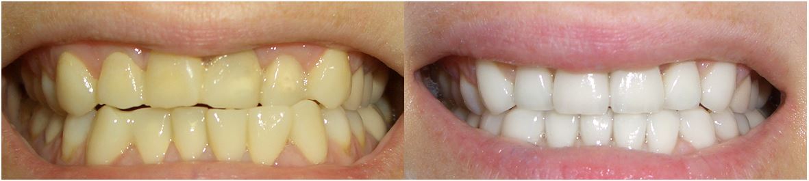
Виниры

Главная » Услуги » Виниры

Виниры

Полное название метода – veneer porcelain, т.е. фарфоровая облицовка. Фарфоровые виниры – представители высоких технологий в стоматологии, при их изготовлении используются самые современные техника и материалы.

Сущность метода такова: на предварительно обработанный зуб накладываются тончайшие фарфоровые пластинки (их толщина от 0.3 до 0.5 миллиметра), которые затем закрепляются сверхпрочным светоотверждаемым цементом. Это позволяет добиться прекрасного косметического эффекта: винир способен придать зубу идеальную форму, а использование цементов различных оттенков – необходимый цвет.

КАК ПРОИСХОДИТ УСТАНОВКА ВИНИРОВ?

Для начала необходимо получить консультацию стоматолога, который подскажет, является ли использование виниров в вашем случае оптимальным. Процесс изготовления и установки винира занимает около недели.

Зуб (зубы) на который будет установлен винир, должен быть специально обработан. Для этого с передней поверхности зуба снимается(там, где это необходимо) тончайший слой эмали, по толщине равный виниру. Это процедура не травмирует и не ослабляет зуб. После обработки стоматолог снимает с ваших зубов оттиск (слепок) по которому в лаборатории будут изготовлены виниры. На это время вам изготовят временные виниры, сразу в кабинете. От доктора вы уйдете с зубами.

После того как виниры изготовлены в лаборатории, и прошли контроль качества в клинике, стоматолог фиксирует их на поверхности зуба. После окончательной установки виниров доктор вносит последние штрихи в картину – выравнивает контуры там, где нужно и делает поправку на прикус. 

В ряде случаев постоянный винир может быть изготовлен тут же в кабинете, и тогда вся процедура завершается в один визит. Благодаря применению высоких технологий можно получить «оптический слепок» зубов на специальном аппарате, который выточит винир по такому образцу. Но, мнения стоматологов на этот счет неоднозначны – многие из них считают, что прочность и эстетические свойства винира, изготовленного вручную в лаборатории намного выше, чем у изготовленного машиной.

КОГДА МОГУТ ПРИМЕНЯТЬСЯ ВИНИРЫ?

Использование виниров позволяет добиться высокого косметического эффекта при различных дефектах поверхности и цвета зубов, таких как:

  • сколы зубов
  • промежутки между зубами
  • клиновидный дефект
  • истирания эмали
  • нарушения формы зубов
  • старые пломбы, отличающиеся по цвету от нормального зуба
  • дефекты цвета зуба, связанные с флюорозом
  • «тетрациклиновые зубы»
  • последствия травм или лечения корневого канала

КОГДА ПРИМЕНЕНИЕ ВИНИРОВ НЕЖЕЛАТЕЛЬНО?

Фарфоровые виниры нельзя устанавливать при:

  • кариозной болезни зубов и заболеваниях десен, вначале необходимо вылечить эти заболевания
  • при значительных дефектах зубов, когда утрачена его большая часть или ослаблении зуба. Винир не делает зуб более прочным, в таких случаях более подходящий метод – установка зубной коронки
  • при значительных дефектах эмали и значительных истираниях, в том числе вызванных предыдущими попытками установки винира
  • при состоянии, называемом «бруксизм» - привычке пациента сильно стискивать и скрежетать зубами

ПРЕИМУЩЕСТВА МЕТОДА

Фарфоровые виниры имеют ряд преимуществ по сравнению с другими методами стоматологической косметологии. Во-первых, виниры придают зубу натуральный здоровый вид. При этом препарирование зуба минимальное.

Это связано с тем, что используемый стоматологический фарфор точно имитирует свойства поверхностного слоя зуба – эмали.  Во-вторых – на фарфоровых винирах не бывает пятен. Фарфор гладкий и непроницаемый материал, поэтому на его поверхности не образуются пятна, помутнения или обесцвечивания. Этому материалу не страшны пищевые пигменты - красное вино, табак, кофе и чай.

В любом случае не нужно забывать о необходимости регулярного ухода за полостью рта, правильной чистке зубов и удалении зубного налета.